Dentist Channel Online
As we all know, age changes is a physiological process in human body. As we age, even our teeth demonstrates various age related changes. More than 50 percent of the population lying above 50years of age encounter something know as - "Non carious Cervical Lesions". This is the most common condition seen as human’s age. Such lesions occur from other causes apart from microbial/caries activity.
Let us know what are the age changes in teeth and their clinical manifestations and much more.
To begin with,
Attrition
This type of age changes manifests as loss of outer (tips and top/occlusal/chewing surfaces) and proximal surfaces of the teeth which is called as enamel. In most severe cases, it exposes the underlying sensitive layer of tooth called dentin. When dentin gets exposed to oral cavity, the patient complains of severe sensitivity. It occurs due to clenching of teeth, improper bite, stress factors etc.
Abrasion
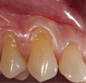
It is the condition where the cervical part of the teeth is affected. Cervical part is the region of tooth close to the gum line/gingiva. As we age, the forces that act on front/anterior surfaces of the teeth is far more damaging than the forces acting on the back/lingual surfaces of teeth. This type of age changes occur in front/anterior surface of the teeth. The anterior surfaces have comparatively less bone structure than lingual surfaces of the teeth. The thicker bone behind the teeth resists the forces and protects the tooth. Abrasion occurs due to improper tooth brushing technique, more force applied during brushing, clasps of the denture or due to abrasive contents in a toothpaste.
Abfraction
It is another such age change where a wedge shaped loss of tooth structure occurs near the cervical region of the teeth. In severe cases it can result in exposure of underlying layers of teeth and pulp exposure.
Erosion
This is another kind of non-carious cervical lesion. The reason can be extrinsic factors or intrinsic factors. Extrinsic includes environmental changes, dietary changes such as from citrus fruit and juices, carbonated beverages, acidic fruit flavoured candies, pickled foods. Intrinsic factors include gastroesophageal reflux diseases, anorexia nervosa, recurrent vomiting, pregnancy sickness, chronic alcoholism.
Noticing the age changes at early stage and getting the lesions treated at the earliest can prevent complex treatment modalities. Knowledge of such lesions is less among the population. More counselling is needed to educate the elderly who encounter these lesions. Regular visit to a dentist can help in early diagnosis and treatment planning.


Hailey - 9 months ago